
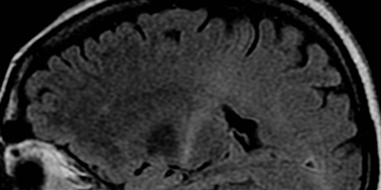
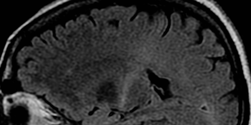
Intracranial Atherosclerosis on 7T MRI and Cognitive Functioning – the SMART-MR study
1. Among patients with vascular disease, high burden of atherosclerotic lesions in the posterior circulation as well as the posterior cerebral artery was associated with poorer memory and executive functioning.
Evidence Rating Level: 2 (Good)
The individual and societal burden of dementia continues to rise as the global population, on average, grows older. Though it is well known that cerebrovascular disease as a result of intracranial atherosclerosis (ICAS) can contribute to dementia and cognitive decline, less is known about this relationship with regards to premorbid cognitive functioning and the effect of artery-specific lesions. This prospective cohort study used 7 tesla (7T) vessel wall-MRI to explore the association between ICAS and cognitive function among 130 patients (mean [SD] age = 68 [9] years, 88% male) with known vascular disease. Each patient’s neuropsychological status was assessed with a variety of tests, and individual testing scores were averaged to yield a composite Z-score. Imaging revealed that among the cohort, the average ICAS burden for the total circulation (ICASTC) was 8.5±5.7 lesions, for the anterior circulation (ICASAC) 5.3±3.2 lesions, and for the posterior circulation (ICASPC) 3.8±3.0 lesions. No significant association between ICASTC and memory was found (b = -0.02 per +1 lesion, 95% CI -0.05 to 0.00, where b is a linear regression coefficient representing the difference in Z-score per one lesion increase in ICAS burden), even after controlling for age, sex, education level, and reading ability. However, a significant association between ICASPC and memory was observed (b = -0.06 per +1 lesion, 95% CI -0.10 to -0.01). Additionally, when looking at individual arteries, ICAS burden in the posterior cerebral artery (ICASPCA) was associated with significant decline in both memory (b = -0.13 per +1 lesion, 95% CI -0.24 to -0.02) and executive function (b = -0.09 per +1 lesion, 95% CI -0.17 to -0.01). Non-significant associations between ICAS burden in the anterior cerebral artery (ICASACA) and decline in memory and executive function were observed. No significant associations were seen for the middle cerebral, internal carotid, vertebral, or basilar arteries. Overall, this study showed that among patients with a history of vascular disease, high ICAS burden in the posterior circulation as well as the posterior cerebral artery was associated with poorer memory and executive function. These findings may help inform understanding of how atherosclerosis of specific cerebral vessels contributes to the development of dementias.
Randomized Study of Delayed Cord Clamping of 30 to 60 Seconds in the Larger Infant Born Preterm
1. Among preterm infants, the delaying of cord clamping for 60 seconds was associated with an increased hematocrit when compared to clamping at 30 seconds.
2. The greatest absolute increase in hematocrit between the two groups was seen among infants born at less than 31 weeks.
Evidence Level Rating: 2 (Good)
Delayed cord clamping (DCC) is a widely accepted practice in neonatal care because it increases blood flow from mother to fetus and facilitates the cardiorespiratory transition. Many professional organizations, including the World Health Organization and the American College of Obstetrics and Gynecology, recommend DCC for at least 30 to 60 seconds after birth when appropriate. Some providers, however, are hesitant to delay cord clamping for fear of delaying resuscitation and hyperbilirubinemia. This randomized controlled trial compared 50 infants (mean [SD] gestational age = 32.7 [1.6] weeks) clamped at 30 seconds with 55 infants (mean [SD] gestational age = 33.2 [2.1] weeks) clamped at 60 seconds born to mothers with threatened preterm delivery between 28 and 346/7 weeks estimated gestational age. The primary objective was to determine whether DCC for 30 or 60 seconds would be associated with a difference in hematocrit of 3%. Secondary objectives included the impact of DCC on other metrics such as Apgar scores, initial and 6-hour heart rate, and initial temperature, among others. Initial hematocrit was 49.7±5.2% among the 30-second group and 52.5±6.1% among the 60-second group (p = 0.006). Subgroup analysis revealed that for infants born at <31 weeks (n = 16), hematocrit increased from 45.9±6.2% among the 30-second group to 52.7±7.6% among the 60-second group (p = 0.03), while for infants born at ≥31 weeks (n = 89), hematocrit increased from 50.1±4.8% among the 30-second group to 52.5±5.9% among the 60-second group (p = 0.02). Between the two groups, no secondary objectives measured were statistically significant, and there were no obvious adverse effects attributable to the intervention. This study adds to the growing evidence that supports DCC among preterm infants because of its immediate clinical benefits and positive impact on hematocrit.
Association of Rapid Eye Movement Sleep With Mortality in Middle-aged and Older Adults
1. Decreasing amounts of REM sleep was associated with an increased risk of all-cause mortality.
2. The most profound risk was seen among individuals experiencing less than 15% REM sleep at night.
Evidence Level Rating: 2 (Good)
Sleep disturbances affect tens of millions of adults each year, contributing significantly to the global burden of disease. Numerous studies have linked decreased sleep to mortality. Less, however, is known about how the proportion of time spent in rapid eye movement (REM) sleep and non-REM sleep stages (N1, N2, and N3) contribute to disease patterns, though it is well-established that decreased REM sleep is associated with poorer mental and physical health. This cross-sectional study of two independent cohorts – 2,675 patients (mean [SD] age at baseline = 76.3 [5.5] years, 100% male, 91.5% white) from the Outcomes of Sleep Disorders in Older Men (MrOS) Study and 1,386 patients (mean [SD] age at baseline = 51.5 [8.5] years, 54.3% male, 94.6% white) from the Wisconsin Sleep Cohort (WSC) – evaluated the relationship between time spent in REM sleep and mortality. The WSC cohort was younger, had a mix of men and women, and had more obesity, among other differences. The percentage of time spent in REM sleep was similar across the two cohorts, 19.2±6.6% among the MrOS group and 17.6±6.5% among the WSC group. Among the MrOS group, every 5% reduction in REM sleep was associated with a 13% higher rate of all-cause mortality (HR 1.13, 95% CI 1.08 to 1.19) after adjustment, the significance of which persisted for cardiovascular-related morality but not for cancer-related morality. Individuals experiencing less than 15% REM sleep per night had a significantly higher risk for all mortality definitions studied. Among the WSC cohort, the significant increase in all-cause mortality with reduction in REM sleep was also seen (HR 1.17, 95% CI 1.03 to 1.34) despite the differences in baseline characteristics. This robust study across two independent cohorts revealed an association between the amount of time spent in REM sleep and mortality, highlighting the need for clinical strategies to preserve and promote REM sleep.
Intestinal Virome Signature Associated With Severity of Nonalcoholic Fatty Liver Disease
1. The gut virome among patients with severe NAFLD was found to be different than those with milder NAFLD.
2. Adding viral diversity to clinical models used to predict NAFLD severity significantly increased diagnostic accuracy.
Evidence Level Rating: 2 (Good)
Non-alcoholic fatty liver disease (NAFLD) affects approximately 25% of the world’s population, significantly increasing the risk of hepatocellular carcinoma and liver-related mortality. Research until now has focused almost exclusively on how NAFLD alters the gut bacterial microbiome, though the virome too is affected, with alterations described in other pathologies such as inflammatory bowel disease and colorectal cancer. The purpose of this prospective, cross-sectional observational study was to characterize the gut virome among 73 patients (mean [range] age = 55.6 [20.2-79.6] years, 51% female) with NAFLD and explore associations with different stages of NAFLD. Liver biopsies were obtained to assign a NAFLD activity score (NAS), as well as to stage the degree of fibrosis, both of which are associated with an increased risk of liver pathologies. Viral nucleic acid was extracted from fecal samples, yielding a total of 420 unique viral species. Patients with NAS 5-8 exhibited significantly lower viral diversity than those with NAS 0-4 (p = 0.005) as well as a significantly lower proportion of phages (p = 0.046). Patients with F2-F4 fibrosis also had a significantly lower proportion of phages compared with patients with minimal fibrosis (p < 0.001). Specifically, the relative abundance of the Lactococcus phage was found to be significantly lower in patients with F2-F4 fibrosis compared to those with F0-F1 fibrosis (p = 0.047); a similar association, though not significant, was seen when comparing patients with NAS 5-8 to those with NAS 0-4 (p = 0.063). When adding viral diversity into a model based on age and AST to predict NAS 5-8, diagnostic accuracy was significantly improved (AUC 0.95, 95% CI 0.91 to 0.99, likelihood ratio p value < 0.001). Likewise, for the detection of F2-F4 fibrosis, adding viral diversity to a model based on age, AST, and platelet counts significantly improved diagnostic accuracy (AUC 0.88, 95% CI 0.80 to 0.95, likelihood ratio p value = 0.001). Taken together, these data suggest that specific alterations in the gut virome are associated with a higher NAS and degree of fibrosis. Such findings could be instrumental in developing a non-invasive biomarker to predict NAFLD severity.
1. Among patients with ARDS, a reduction in RALE score in the first three days following onset was associated with decreased mortality at 90-days.
Evidence level Rating: 2 (Good)
The development of acute respiratory distress syndrome (ARDS) among critically ill patients portends significant morbidity and mortality. Non-invasive tests like the Radiographic Assessment of Lung Edema (RALE) score have been developed to characterize pulmonary edema in ARDS based on the extent and density of alveolar opacities seen on chest X-ray. The RALE score is based on the sum product of consolidation and density scores for each quadrant on imaging, with 48 being the maximal score. The purpose of this retrospective cohort study was to assess whether early changes in RALE score among patients with ARDS is associated with a decrease in 90-day mortality. Chest X-rays were available for 135 patients at baseline, 64 patients on day two, and 88 patients on day three. Of the 135 patients at baseline, 89 patients (mean [SD] age = 57 [15] years, 71% male) survived while 46 patients (mean [SD] age = 68 [14] years, 83% male) did not. It was found that baseline RALE score (HR for each one-point increment 1.04, 95% CI 1.01 to 1.08, p = 0.006) and the change in RALE score over time (HR for each one-point decrease in RALE score per unit of time 0.99, 95% CI, 0.99 to 0.99, p = 0.03) were independently associated with death at 90 days, even after adjusting for age, sex, BMI, vasopressor use, and total volume of fluids received. When comparing an absolute increase or no change in RALE score from baseline to day three to a decrease in RALE score over the same period, a higher risk of death at 90 days was observed (HR 3.39, 95% CI 1.14 to 10.09, p = 0.03). This study found that an early decrease in RALE score was associated with a decreased risk of mortality at 90 days among patients with ARDS. Such findings illustrate how serial chest X-ray imaging among such patients may be useful as a non-invasive prognostic marker of clinical outcomes.
Image: PD
©2020 2 Minute Medicine, Inc. All rights reserved. No works may be reproduced without expressed written consent from 2 Minute Medicine, Inc. Inquire about licensing here. No article should be construed as medical advice and is not intended as such by the authors or by 2 Minute Medicine, Inc.

