Gross Examination
The mean (±SE) weight of the lungs from patients with proven influenza pneumonia was significantly higher than that from patients with proven Covid-19 (2404±560 g vs. 1681±49 g; P=0.04). The mean weight of the uninfected control lungs (1045±91 g) was significantly lower than those in the influenza group (P=0.003) and the Covid-19 group (P<0.001).
Angiocentric Inflammation
Figure 1.
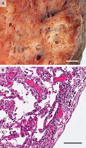
Figure 1. Lymphocytic Inflammation in a Lung from a Patient Who Died from Covid-19.
The gross appearance of a lung from a patient who died from coronavirus disease 2019 (Covid-19) is shown in Panel A (the scale bar corresponds to 1 cm). The histopathological examination, shown in Panel B, revealed interstitial and perivascular predominantly lymphocytic pneumonia with multifocal endothelialitis (hematoxylin–eosin staining; the scale bar corresponds to 200 μm).
All lung specimens from the Covid-19 group had diffuse alveolar damage with necrosis of alveolar lining cells, pneumocyte type 2 hyperplasia, and linear intraalveolar fibrin deposition (Figure 1). In four of seven cases, the changes were focal, with only mild interstitial edema. The remaining three cases had homogeneous fibrin deposits and marked interstitial edema with early intraalveolar organization. The specimens in the influenza group had florid diffuse alveolar damage with massive interstitial edema and extensive fibrin deposition in all cases. In addition, three specimens in the influenza group had focal organizing and resorptive inflammation (Fig. S2). These changes were reflected in the much higher weight of the lungs from patients with influenza.
Immunohistochemical analysis of angiotensin-converting enzyme 2 (ACE2) expression, measured as mean (±SD) relative counts of ACE2-positive cells per field of view, in uninfected control lungs showed scarce expression of ACE2 in alveolar epithelial cells (0.053±0.03) and capillary endothelial cells (0.066±0.03). In lungs from patients with Covid-19 and lungs from patients with influenza, the relative counts of ACE2-positive cells per field of view were 0.25±0.14 and 0.35±0.15, respectively, for alveolar epithelial cells and 0.49±0.28 and 0.55±0.11, respectively, for endothelial cells. Furthermore, ACE2-positive lymphocytes were not seen in perivascular tissue or in the alveoli of the control lungs but were present in the lungs in the Covid-19 group and the influenza group (relative counts of 0.22±0.18 and 0.15±0.09, respectively). (Details of counting are provided in Table S2.)
In the lungs from patients with Covid-19 and patients with influenza, similar mean (±SD) numbers of CD3-positive T cells were found within a 200-μm radius of precapillary and postcapillary vessel walls in 20 fields of examination per patient (26.2±13.1 for Covid-19 and 14.8±10.8 for influenza). With the same field size used for examination, CD4-positive T cells were more numerous in lungs from patients with Covid-19 than in lungs from patients with influenza (13.6±6.0 vs. 5.8±2.5, P=0.04), whereas CD8-positive T cells were less numerous (5.3±4.3 vs. 11.6±4.9, P=0.008). Neutrophils (CD15 positive) were significantly less numerous adjacent to the alveolar epithelial lining in the Covid-19 group than in the influenza group (0.4±0.5 vs. 4.8±5.2, P=0.002).
A multiplexed analysis of inflammation-related gene expression examining 249 genes from the nCounter Inflammation Panel (NanoString Technologies) revealed similarities and differences between the specimens in the Covid-19 group and those in the influenza group. A total of 79 inflammation-related genes were differentially regulated only in specimens from patients with Covid-19, whereas 2 genes were differentially regulated only in specimens from patients with influenza; a shared expression pattern was found for 7 genes (Fig. S1).
Thrombosis and Microangiopathy
Figure 2.
Figure 2. Microthrombi in the Interalveolar Septa of a Lung from a Patient Who Died from Covid-19.
The interalveolar septum of this patient (Patient 4 in Table S1A in the Supplementary Appendix) shows slightly expanded alveolar walls with multiple fibrinous microthrombi (arrowheads) in the alveolar capillaries. Extravasated erythrocytes and a loose network of fibrin can be seen in the intraalveolar space (hematoxylin–eosin staining; the scale bar corresponds to 50 μm).
The pulmonary vasculature of the lungs in the Covid-19 group and the influenza group was analyzed with hematoxylin–eosin, trichrome, and immunohistochemical staining (as described in the Methods section of the Supplementary Appendix). Analysis of precapillary vessels showed that in four of the seven lungs from patients with Covid-19 and four of the seven lungs from the patients with influenza, thrombi were consistently present in pulmonary arteries with a diameter of 1 mm to 2 mm, without complete luminal obstruction (Figs. S3 and S5). Fibrin thrombi of the alveolar capillaries could be seen in all the lungs from both groups of patients (Figure 2). Alveolar capillary microthrombi were 9 times as prevalent in patients with Covid-19 as in patients with influenza (mean [±SD] number of distinct thrombi per square centimeter of vascular lumen area, 159±73 and 16±16, respectively; P=0.002). Intravascular thrombi in postcapillary venules of less than 1 mm diameter were seen in lower numbers in the lungs from patients with Covid-19 than in those from patients with influenza (12±14 vs. 35±16, P=0.02). Two lungs in the Covid-19 group had involvement of all segments of the vasculature, as compared with four of the lungs in the influenza group; in three of the lungs in the Covid-19 group and three of the lungs in the influenza group, combined capillary and venous thrombi were found without arterial thrombi.
The histologic findings were supported by three-dimensional microCT of the pulmonary specimens: the lungs from patients with Covid-19 and from patients with influenza showed nearly total occlusions of precapillary and postcapillary vessels.
Angiogenesis
Figure 3.
Figure 3. Microvascular Alterations in Lungs from Patients Who Died from Covid-19.
Panels A and B show scanning electron micrographs of microvascular corrosion casts from the thin-walled alveolar plexus of a healthy lung (Panel A) and the substantial architectural distortion seen in lungs injured by Covid-19 (Panel B). The loss of a clearly visible vessel hierarchy in the alveolar plexus is the result of new blood-vessel formation by intussusceptive angiogenesis. Panel C shows the intussusceptive pillar localizations (arrowheads) at higher magnification. Panel D is a transmission electron micrograph showing ultrastructural features of endothelial cell destruction and SARS-CoV-2 visible within the cell membrane (arrowheads) (the scale bar corresponds to 5 μm). RC denotes red cell.
We examined the microvascular architecture of the lungs from patients with Covid-19, lungs from patients with influenza, and uninfected control lungs with the use of scanning electron microscopy and microvascular corrosion casting. The lungs in the Covid-19 group had a distorted vascularity with structurally deformed capillaries (Figure 3). Elongated capillaries in the lungs from patients with Covid-19 showed sudden changes in caliber and the presence of intussusceptive pillars within the capillaries (Figure 3C). Transmission electron microscopy of the Covid-19 endothelium showed ultrastructural damage to the endothelium, as well as the presence of intracellular SARS-CoV-2 (Figure 3D). The virus could also be identified in the extracellular space.
Figure 4.
Figure 4. Numeric Density of Features of Intussusceptive and Sprouting Angiogenesis in Lungs from Patients Who Died from Covid-19 or Influenza A(H1N1).
Angiogenic features of sprouting and intussusceptive angiogenesis (intussusceptive pillars and sprouts, respectively) were counted per field of view in microvascular corrosion casts of lungs from patients with Covid-19 (red), lungs from patients with influenza A(H1N1) (blue), and control lungs (white). In Panels A and B, the numeric densities of angiogenic features are summarized as box plots for intussusceptive and sprouting angiogenesis. The boxes reflect the interquartile range, and the whiskers indicate the range (up to 1.5 times the interquartile range). Outliers are denoted by singular points. A statistical comparison between lungs from patients Covid-19 and those from patients with influenza and uninfected control lungs showed a significantly higher frequency of angiogenesis in the patients with Covid-19 lungs, especially intussusceptive angiogenesis (P values were calculated with Student’s t-test, controlled for the familywise error rate with a Benjamini–Hochberg false discovery rate threshold of 0.05). Panels C and D show a chronological comparison of intussusceptive and sprouting angiogenesis in lungs from patients with Covid-19 and lungs from patients with influenza A(H1N1) plotted as a function of the duration of hospitalization. The numbers shown are Pearson correlation coefficients and P values (all displayed P values of 0.05 or lower also pass the false discovery rate threshold of 0.05). The median angiogenic feature count for each patient is displayed as one dot. The shaded areas encompassing the dotted linear regression lines are smoothed 95% confidence intervals. As a reference for increased blood-vessel formation in lung diseases, intussusceptive and sprouting angiogenesis as found in end-stage nonspecific interstitial pneumonia (NSIP), a chronic interstitial lung disease, at the time of lung transplantation (a mean of 1650 days from first consultation to lung transplantation) are shown (purple box plots). Findings in healthy control lungs are also indicated (white box plots). The white and purple box plots are displayed in relation to the y axis but not the x axis (as indicated by vertical dashed lines).
In the lungs from patients with Covid-19, the density of intussusceptive angiogenic features (mean [±SE], 60.7±11.8 features per field) was significantly higher than that in lungs from patients with influenza (22.5±6.9) or in uninfected control lungs (2.1±0.6) (P<0.001 for both comparisons) (Figure 4A). The density of features of conventional sprouting angiogenesis was also higher in the Covid-19 group than in the influenza group (Figure 4B). When the pulmonary angiogenic feature count was plotted as a function of the length of hospital stay, the degree of intussusceptive angiogenesis was found to increase significantly with increasing duration of hospitalization (P<0.001) (Figure 4C). In contrast, the lungs from patients with influenza had less intussusceptive angiogenesis and no increase over time (Figure 4C). A similar pattern was seen for sprouting angiogenesis (Figure 4D).
Figure 5.
Figure 5. Relative Expression Analysis of Angiogenesis-Associated Genes in Lungs from Patients Who Died from Covid-19 or Influenza A(H1N1).
RNA was isolated from sections sampled directly adjacent to those used for complementary histologic and immunohistochemical analyses. RNA was isolated with the Maxwell RNA extraction system (Promega) and, after quality control through Qubit analysis (ThermoFisher), was used for further analysis. During the NanoString procedure, individual copies of all RNA molecules were labeled with gene-specific bar codes and counted individually with the nCounter Analysis System (NanoString Technologies). The expression of angiogenesis-associated genes was measured with the NanoString nCounter PanCancer Progression panel (323 target genes annotated as relevant for angiogenesis). The resulting gene-expression data were normalized to negative control lanes (arithmetic mean background subtraction), positive control lanes (geometric mean normalization factor), and all reference genes present on the panel (geometric mean normalization factor) with the use of nSolver Analysis Software, version 4.0. Shown in the Venn diagram are only genes that are statistically differentially expressed as compared with expression in controls in both disease groups (Student’s t-test, controlled for the familywise error rate with a Benjamini–Hochberg false discovery rate threshold of 0.05). Up-regulation and down-regulation of genes is indicated by colored arrowheads suffixed to the gene symbols (purple denotes up-regulation, red denotes down-regulation).
A multiplexed analysis of angiogenesis-related gene expression examining 323 genes from the nCounter PanCancer Progression Panel (NanoString Technologies) revealed differences between the specimens from patients with Covid-19 and those from patients with influenza. A total of 69 angiogenesis-related genes were differentially regulated only in the Covid-19 group, as compared with 26 genes differentially regulated only in the influenza group; 45 genes had shared changes in expression (Figure 5).

